본문내용 바로가기
헤더 바로가기
푸터 바로가기
자기치아살리기
신경치료
치주치료
레진치료
크라운 치료
최소 침습적 발치
구강 종양
특수 스케일링
안전마취
안전마취
닥터스노트
닥터스노트
힐링힐스소개
병원 소개
의료진 소개
치과 장비 소개
병원 둘러보기
진료 안내 & 오시는 길
커뮤니티
힐링힐스 소식
치료전후 사진
KOR
ENG
Before & After Treatment Photos
치료전후 사진
커뮤니티
치료전후 사진
검색
제목
신경치료
치주치료
레진치료
크라운치료
최소 침습적 발치
구강 종양
특수 스케일링
[대형견 마라노이즈 송곳니 레진치료 - 강아지치과 법랑질 저형성증 -]
[대형견 마라노이즈 송곳니 레진치료 - 강아지치과 법랑질 저형성증 -]
[구멍난 강아지 치아 레진치료 전후]
[깨진 강아지 치아 레진치료 전후]
[깨진 강아지 치아 레진치료 전후]
[강아지앞니 치료]
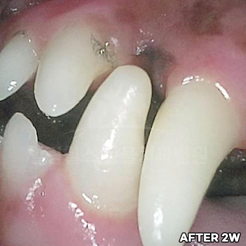
[강아지 치아의 구멍 레진치료 후 2주 경과]
[강아지 치아의 구멍 레진치료 후 2주 경과]
[15년 노령견의 어금니 레진치료]
1
2
3
맨앞으로
1
2
3
4
5
6
7
맨뒤로
블로그
카톡상담
전화상담