본문내용 바로가기
헤더 바로가기
푸터 바로가기
자기치아살리기
신경치료
치주치료
레진치료
크라운 치료
최소 침습적 발치
구강 종양
특수 스케일링
안전마취
안전마취
닥터스노트
닥터스노트
힐링힐스소개
병원 소개
의료진 소개
치과 장비 소개
병원 둘러보기
진료 안내 & 오시는 길
커뮤니티
힐링힐스 소식
치료전후 사진
KOR
ENG
Before & After Treatment Photos
치료전후 사진
커뮤니티
치료전후 사진
검색
제목
신경치료
치주치료
레진치료
크라운치료
최소 침습적 발치
구강 종양
특수 스케일링
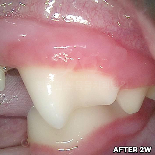
[강아지 치주염 치료 후 2주 경과]
[치주치료 후 자기잇몸뼈 재생!!]
[치주치료 후 자기잇몸뼈 재생!!]
[치주치료 후 5개월 경과]
[치주치료 후 5개월 경과]
[치주치료 후 5개월 경과]
[치주치료 후 5개월 경과]
[치주염 치료 후 자라난 잇몸뼈]
[심한 치주염 치료 후 2주 경과]
1
2
3
맨앞으로
1
2
3
4
5
6
7
8
9
10
다음으로
맨뒤로
블로그
카톡상담
전화상담