-
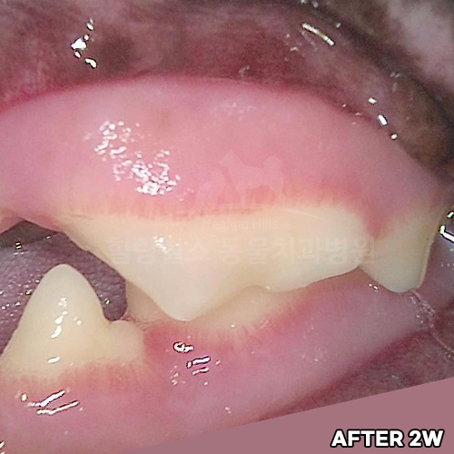
오산 미군공군기지에 사는 대형견 마라노이즈 송곳니 레진치료 - 강아지치과 법랑질 저형성증 (Enamel hypoplasia) 레진치료 -
2025.12.04
-
1.1kg 극초소형견 강아지치주염으로 입냄새나고 잇몸에 피가 나서 치료받았어요 & 매복치발치 - 동물치과 힐링힐스 -
2025.12.01
-
강아지의 깨진 송곳니와 어금니! 레진으로 치료 후 건강해진 모습
2025.12.01
-
[강아지발치] 잇몸뼈가 녹은 구멍에 자기잇몸뼈가 튼튼하게 재생되어 채워졌어 - 강아지치아발치 2년 후 구강X-ray 비교! -
2025.11.26
-
마취하고 1회, 마취하지 않고 3회! 잇몸피고름이 나오는 강아지치주치료 하고 자기잇몸뼈 재생 - 엑스레이와 CT로 비교!
2025.11.21
-
최고 난이도 강아지신경치료 - 꽉막힌 근관&치수괴사! 커다란 반려견치근단농양! 녹아내린 턱뼈! 치통으로 사나워진 모습! 강아지 신경치료 & 치주치료 한달 뒤 좋아졌어요!
2025.11.17